Быкова Полина Михайловна

Стоматолог-терапевт, гигиенист

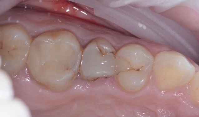
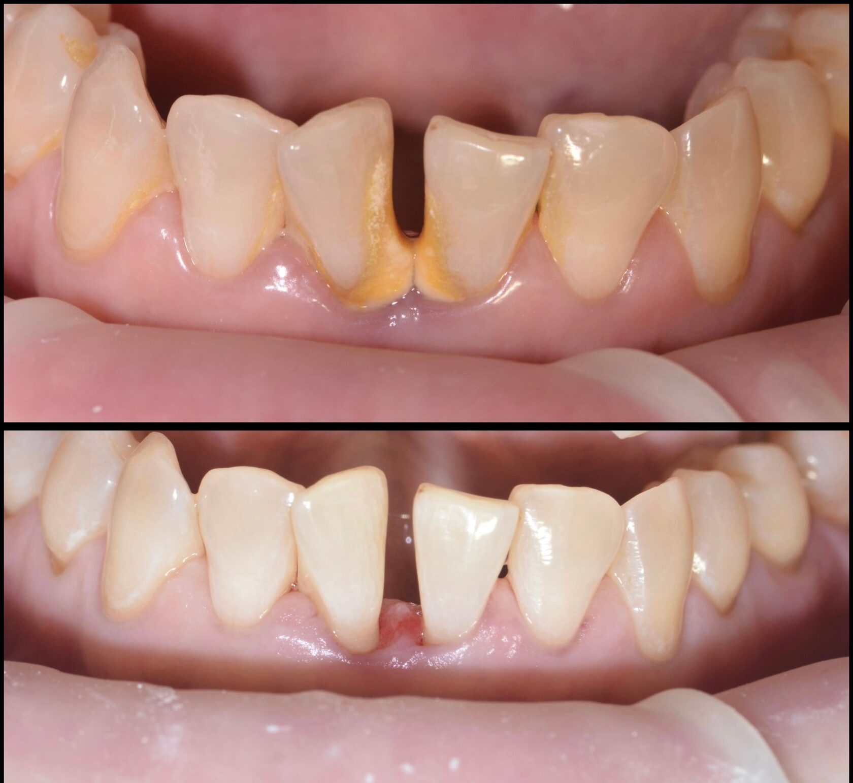
Специализируется на лечении кариеса, с помощью бинокуляров и микроскопа, проводит бережную и эффективную чистку зубов с помощью Air-Flow Handy 3.0 PERIO/PLUS от S.T.I. В зависимости от ситуации, доктор подбирает оптимальный вариант процедуры: классическую проф.гигиену или процедуру по технологии Guided Biofilm Therapy (GBT). Подобный подход позволяет предупредить целый ряд заболеваний зубного ряда и десен. Консультирует по вопросам домашней гигиены и подбору индивидуальных средств для ухода за полостью рта.
Быкова Полина Михайловна
Стоматолог-терапевт, гигиенист

Специализируется на лечении кариеса, с помощью бинокуляров и микроскопа, проводит бережную и эффективную чистку зубов с помощью Air-Flow Handy 3.0 PERIO/PLUS от S.T.I. В зависимости от ситуации, доктор подбирает оптимальный вариант процедуры: классическую проф.гигиену или процедуру по технологии Guided Biofilm Therapy (GBT). Подобный подход позволяет предупредить целый ряд заболеваний зубного ряда и десен. Консультирует по вопросам домашней гигиены и подбору индивидуальных средств для ухода за полостью рта.
Оставьте свой телефон и мы Вам перезвоним!
Укажите свой номер
+7 (4712) 74-94-74
Нажимая на кнопку, вы даете согласие на обработку персональных данных и соглашаетесь c политикой конфиденциальности
2023
Стоматологический конгресс
2025
  • Окончание стоматологического факультета, КГМУ
  • «Жевательная реставрация. Direct Posterior. Easy Start»
  • «Просто Эндо»
  • Курс Guided Biofilm Therapy (GBT)
  • Лечение и профилактика воспалительных заболеваний пародонта с использованием протокола GBT. Преимущества. Инновации. Протокол.
Назад к странице доктора
Записаться на консультацию

Введите свои данные. Администратор свяжется с Вами и поможет выбрать удобное время для визита в клинику