Турсунов Баходир Шахабидинович

Стоматолог-ортопед

Проводит реконструкцию улыбки пациента, протезирование с минимальным препарированием своих тканей зубов, для восстановления и укрепления эмали, тонкостенные керамические реставрации и виниры, препарирование зубов под микроскопом. Стаж работы 17 лет.
Основные направления работы: полная вторичная адентия; частичная вторичная адентия; некариозные поражения зубов; несъемное протезирование частичного отсутствия зубов; микропротезирование вкладками; протезирование на имплантатах; съемное протезирование при частичном отсутствии зубов бюгельными протезами и на аттачменах; протезирование при полном отсутствии зубов съемными пластинчатыми протезами.
Турсунов Баходир Шахабидинович
Стоматолог-ортопед

Проводит реконструкцию улыбки пациента, протезирование с минимальным препарированием своих тканей зубов, для восстановления и укрепления эмали, тонкостенные керамические реставрации и виниры, препарирование зубов под микроскопом. Стаж работы 17 лет.
Основные направления работы: полная вторичная адентия; частичная вторичная адентия; некариозные поражения зубов; несъемное протезирование частичного отсутствия зубов; микропротезирование вкладками; протезирование на имплантатах; съемное протезирование при частичном отсутствии зубов бюгельными протезами и на аттачменах; протезирование при полном отсутствии зубов съемными пластинчатыми протезами.
Оставьте свой телефон и мы Вам перезвоним!
Укажите свой номер
+7 (4712) 74-94-74
Нажимая на кнопку, вы даете согласие на обработку персональных данных и соглашаетесь c политикой конфиденциальности
2009
Окончание стоматологического факультета, КГМУ
2010
Окончание интернатуры, КГМУ, Стоматология общей практики
2011
Профессиональная переподготовка, КГМУ, Стоматология ортопедическая
2015
Повышение квалификации, КГМУ, Стоматология ортопедическая
2020
Повышение квалификации, КГМУ, Стоматология ортопедическая
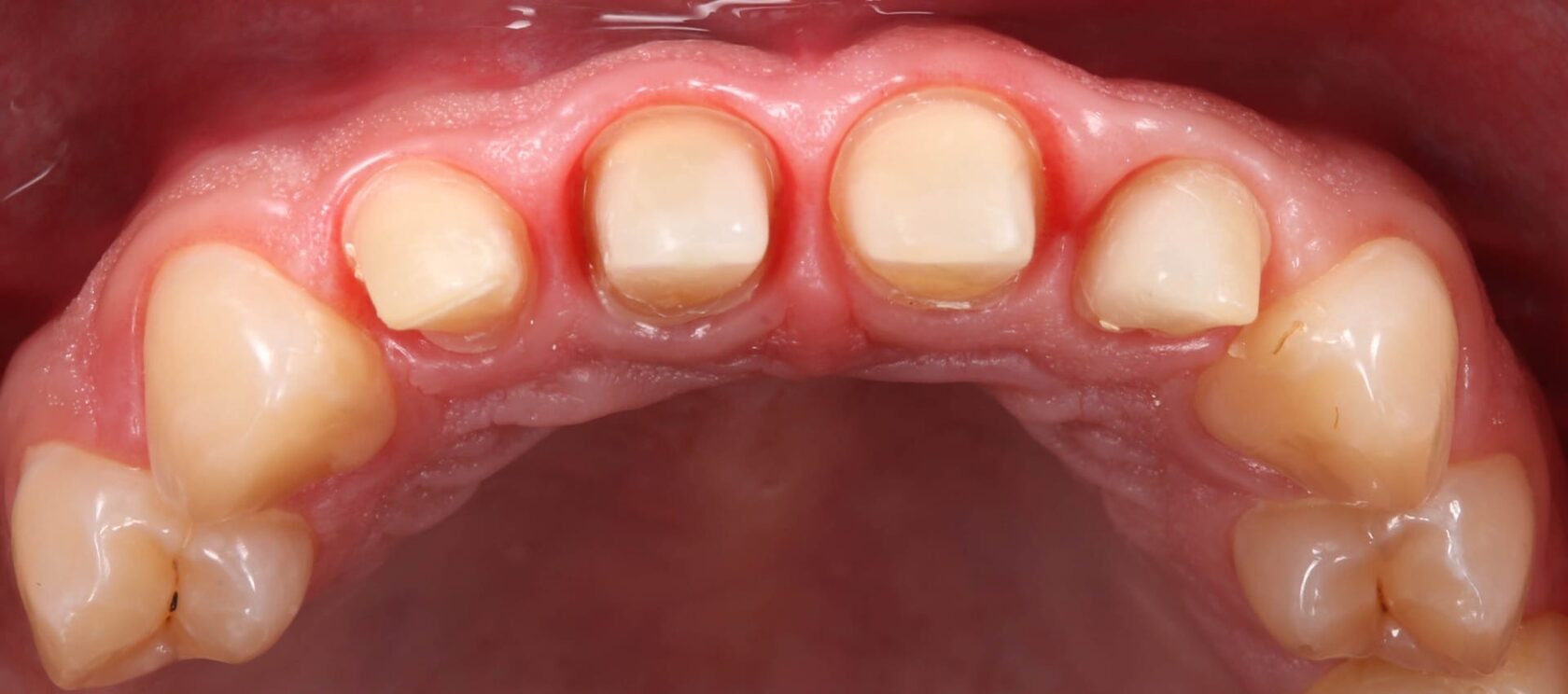
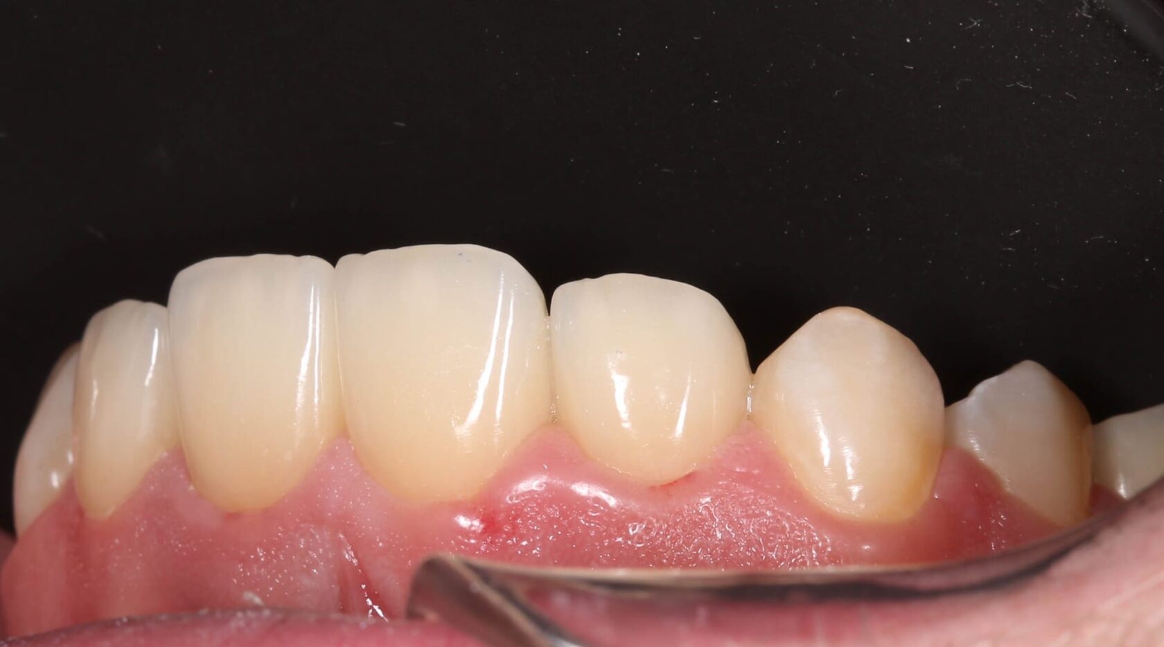
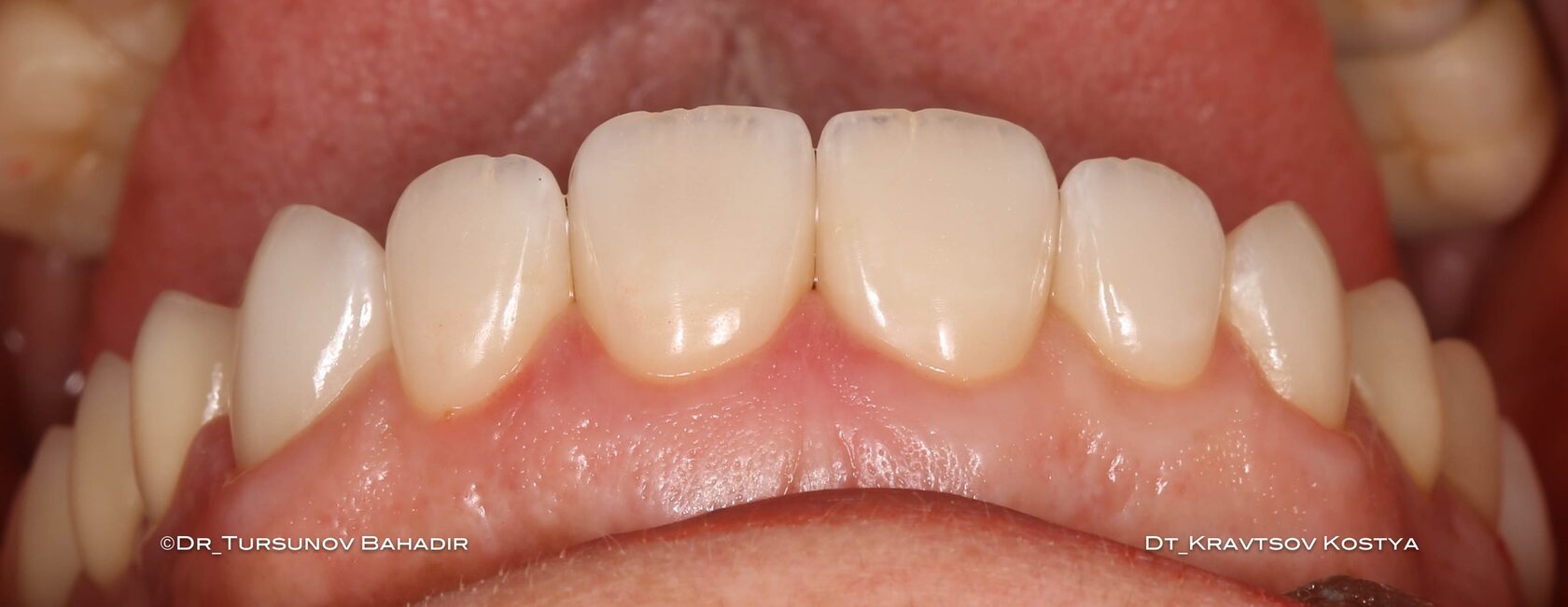
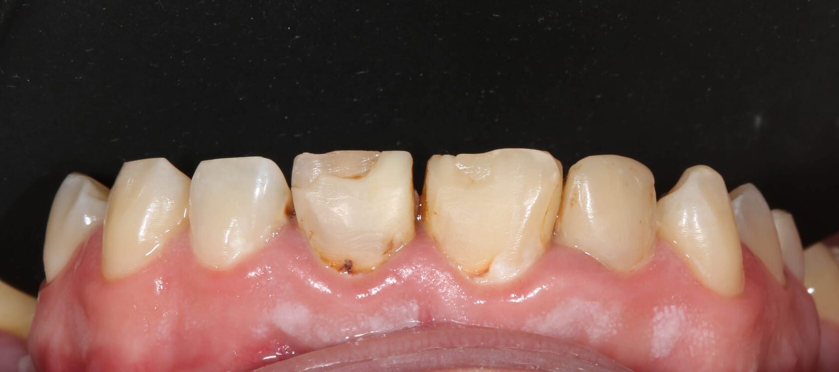
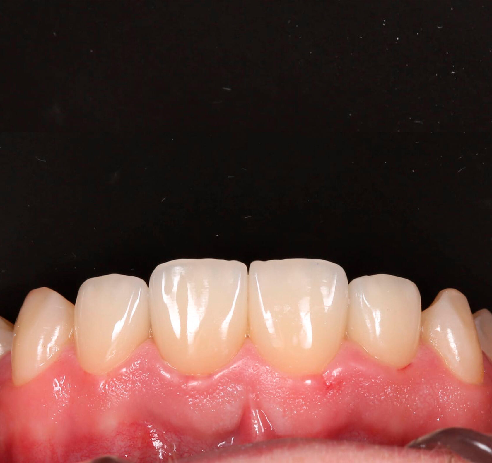
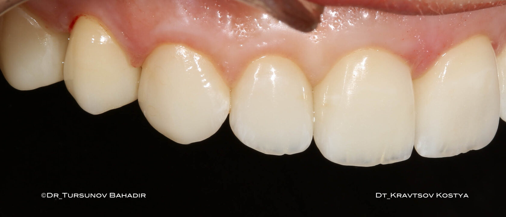
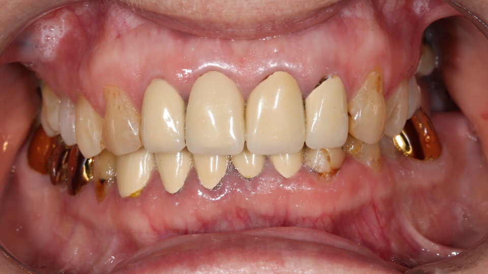
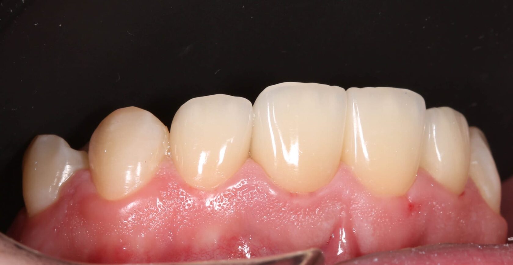
Виниры
E-max Bl 3
Преображение зоны улыбки
Назад к странице доктора
Записаться на консультацию

Введите свои данные. Администратор свяжется с Вами и поможет выбрать удобное время для визита в клинику